Schöne Zähne

Es ist Zeit wieder zu lachen
Endlich wieder ungezwungen auf dem nächsten Familienfoto in der ersten Reihe lachen, sich freuen, ohne Scham, ohne wegdrehen
Mit dem Partner/Partnerin rausgehen, den Moment geniessen, pure Lebensfreude beim Kaffeetrinken im netten Straßenkaffee
Beim nächsten Meeting mit Arbeitskollegen wieder selbstbewusst und sicher diskutieren
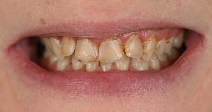
Selbst bei guter Zahnpflege kommt es über die Jahre zu kleinen optischen Makeln, die optisch auffallen können: dunkle Füllungen, schwarze Kronenränder, länger werdende Zähne…
Wir Menschen assoziieren aber mit einem hellen, weißen Gebiss Gesundheit, Kraft und Stärke.
Haben Sie auch ihr Lachen verloren? Fühlen sich nicht wohl mit ihren Zähnen?
Schöne Zähne, Zahnästhetik ist sehr individuell. Jeder Mensch möchte sich wohlfühlen, sicher fühlen mit seinem Lachen und hat ein eigenes Empfinden für seine Zähne.
Ihre Entscheidung. Zahnheilkunde und Ästhetik gehen Hand und Hand.
Lassen Sie uns gemeinsam Ihren individuellen Weg nach den Möglichkeiten der modernen Zahnheilkunde gestalten und umsetzen.
Jetzt sind Sie dran! Viele Menschen haben es schon geschafft, gerne auch im Dämmerschlaf
Vorher – nachher Beispiele

























